塑膠模具設計經驗-深圳市深模塑膠模具有限公司整理
2017-09-28
真空高壓氣淬爐是實現真空熱處理的最好設備
塑膠模具針對模仁鋼材的八大性能要求,具體如下:
塑膠模具注塑新技術,高光無痕注塑技術
深圳市深模塑膠模具有限公司-申請深圳市創(chuàng)新型中小企業(yè)
2017-09-27
南京國慶8日游
2017-09-26
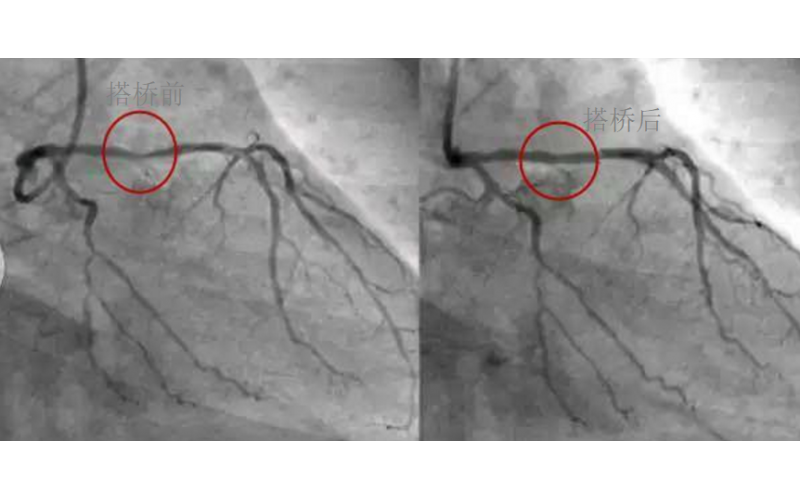
深圳市模具廠對心臟支架的關注,國產化的道路有多長?
2017-09-25
天線罩模具, 專業(yè)的TPU模具, 專業(yè)設計, 專業(yè)生產上圖這樣的設計, 是不是可以看清楚,
2024-12-9 注塑模具行業(yè)有哪些新材料
2022-11-29 Vlog 日志, 后天12月到了
注塑廠,可以做LDS的產品,看過來
關于鋼材的問題--深圳市模具廠鋼材的來源